Call me back
Smile gallery




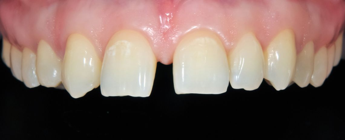
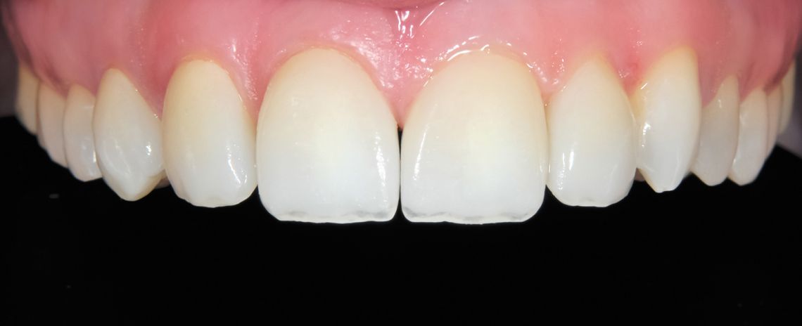
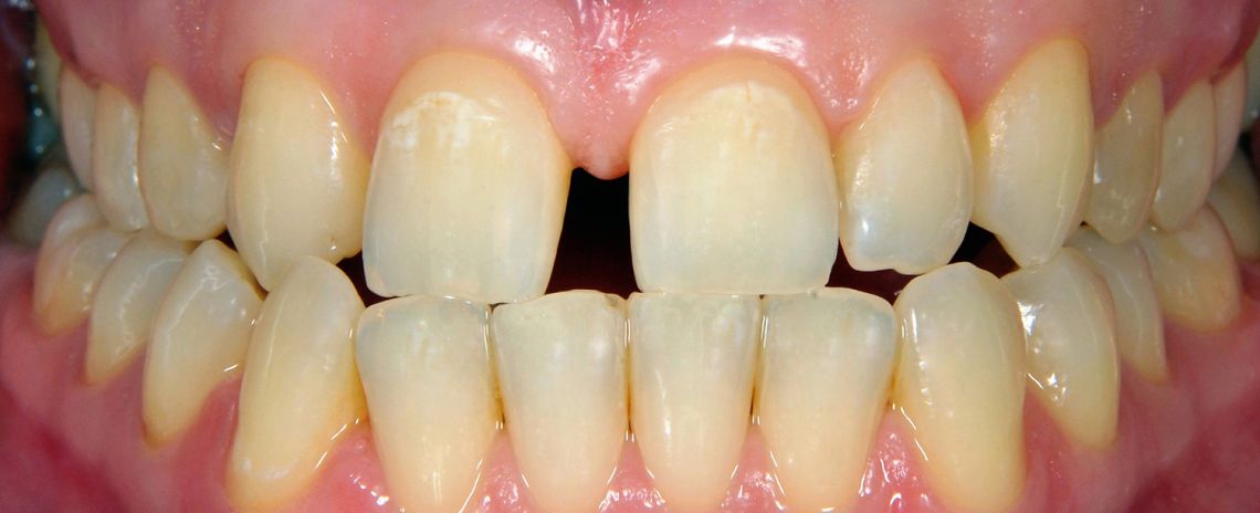
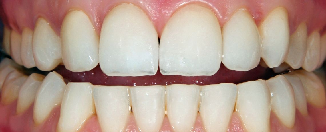
Composite Bonding and Whitening


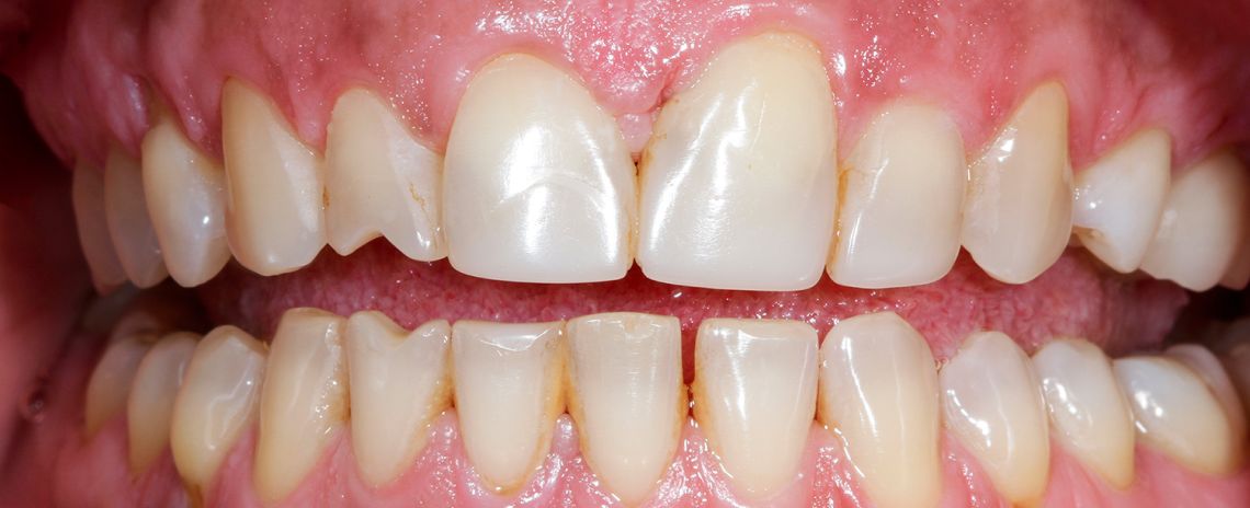
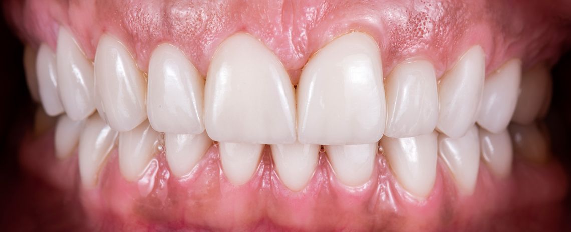
Crown


Crowns and Veneers


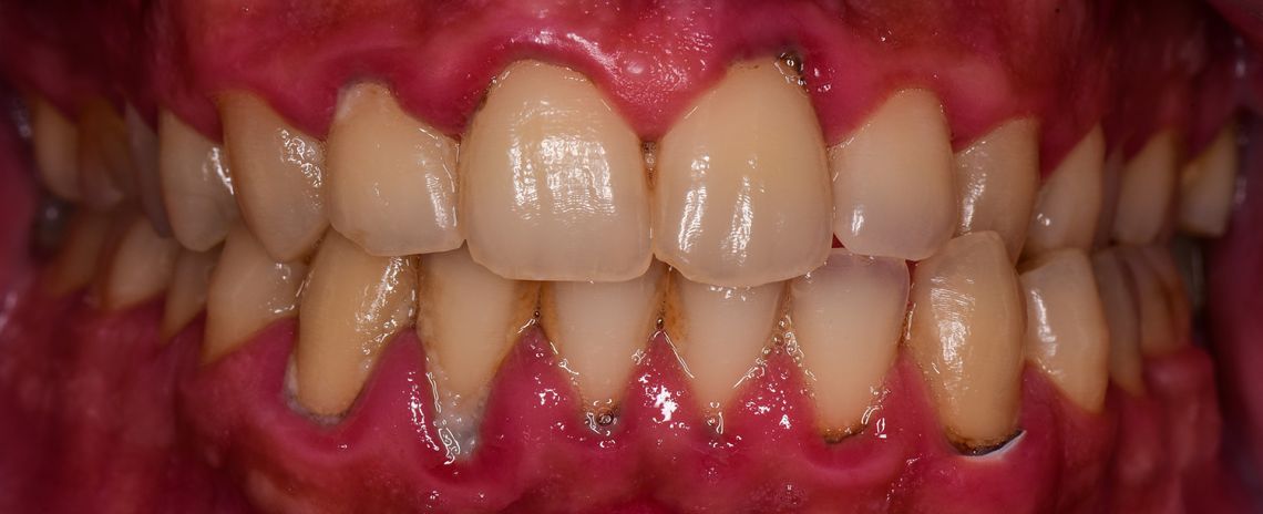
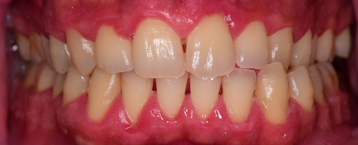
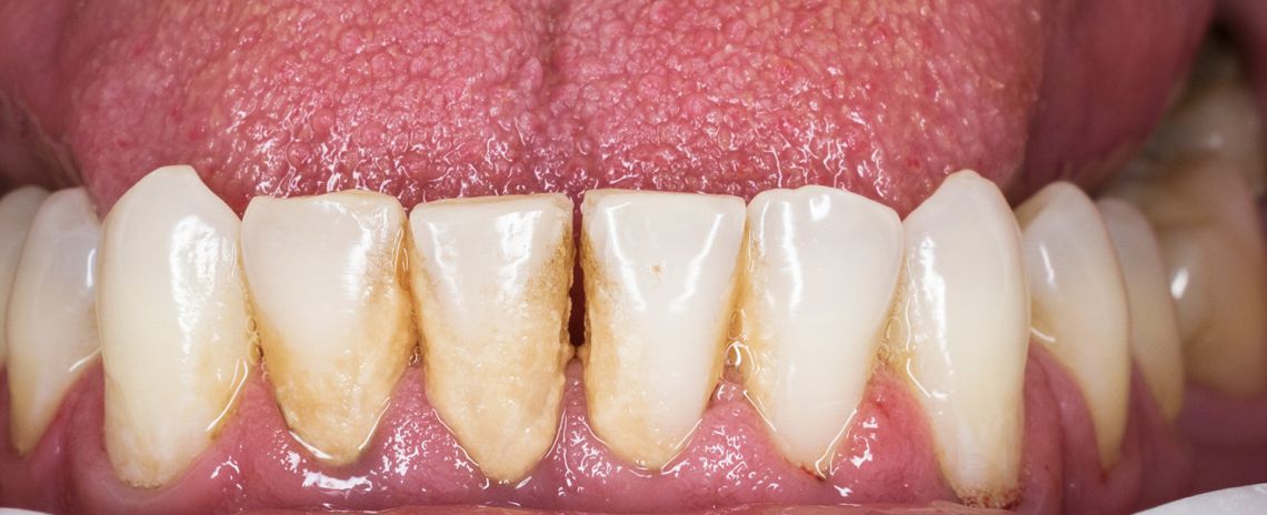
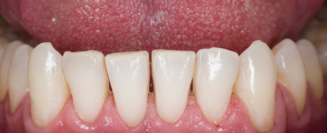
Gum Disease Clean


Hygiene Clean


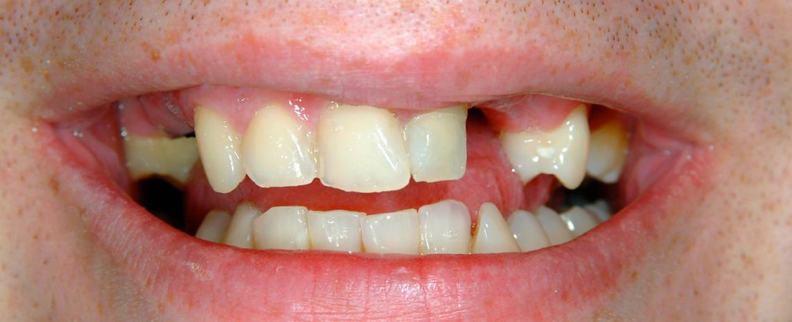
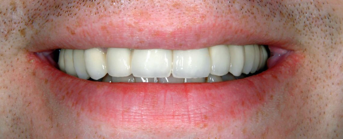
Implant Denture


Teeth Straightening, Sculpting and Composite Bonding


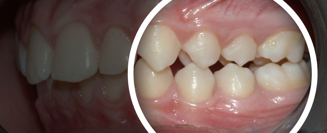
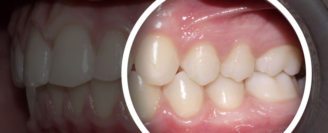
Teeth Straightening and Whitening


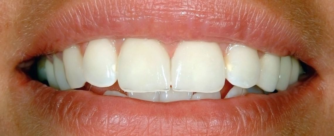
Teeth Whitening


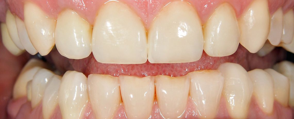
Veneers


Veneers

