Call me back

We’re Accepting New Patients!

Read More Next

Looking for a caring and professional dental practice? We’re excited to welcome new patients to our clinic! Whether you’re due for a check-up, need treatment, or are looking to enhance your smile, our friendly team is here to help.
Contact us today to book your first appointment—we look forward to meeting you!

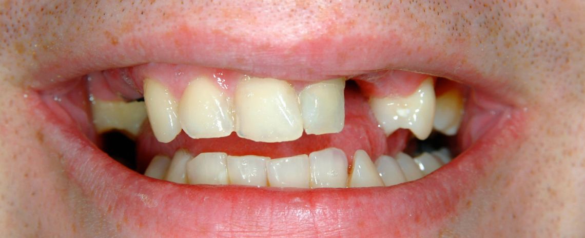
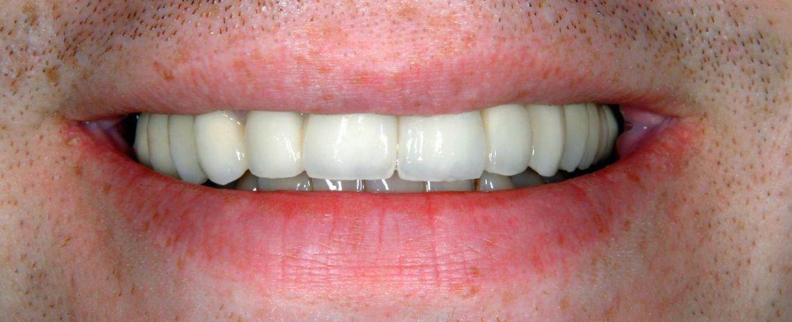
Dental implants

Serving patients throughout Guildford, Farnham, Aldershot, Godalming, Woking, Shalford and Cranleigh

Dental implant treatment has the power to transform your life. Whether you're replacing a single tooth or restoring a full smile, dental implants provide a permanent solution for secure, natural-feeling teeth, giving you back both your smile and your quality of life.

In addition to recreating the look of natural teeth, implants play a crucial role in preserving your overall dental health. Replacing missing teeth is essential, as gaps can lead to bone loss, which not only ages your face but can also cause adjacent teeth to become loose over time.


At Guildford Dental Centre we can assist with all implant cases, from the simplest to the most complex. Our patients have the peace of mind that they can access progressive technology and benefit from a wealth of experience from our implant dentist, Dr Chhavi Sharma or Dr Raman Bhardwaj.

What is a dental implant?

Dental implants are a surgical procedure where an artificial replacement for a tooth root is used which is made from titanium. After the dental implant is placed there is a healing period of 3-6 months, once this has been completed the final restoration is placed. The replacement teeth are usually fitted with a dental crown, bridge or a implant supported denture. These replacement teeth are carefully crafted to ensure they match your natural tooth, leaving you with a beautiful, natural looking smile.

Types of implants

  • Single implant – implants can be used to replaces a single tooth, restoring your smile with a single implant and crown.
  • Multiple implants – if you have a gap from a few missing teeth, dental implants can be placed to securely fix a dental bridge in place.
  • Full smile restorations – If you are missing a full arch of teeth, or the full set, 4 to 8 implants can be placed to securely attach a denture. Anchoring dentures on dental implants ensure that they do not slip and are comfortable.

Why choose dental implants?

Crowns, bridges and dentures address the short-term cosmetic problem of missing teeth but do nothing to stop bone loss. Crown and bridge dentistry also requires grinding down healthy teeth leaving them at much greater risk for cavities and tooth failure. Dentures become uncomfortable and unstable over time as the jawbone shrinks causing eating and speech problems.

With dental implants, replacement teeth are securely anchored without compromising any neighbouring healthy teeth. Dental implants, like natural teeth, stimulate the jaw and stop bone loss.

Dental Implant
Play

The benefits of implants

  • Implants look and feel just like natural teeth – you shouldn’t notice any difference.
  • Implants provide permanent stability and comfort without affecting healthy teeth.
  • Implants won’t come loose or fall out.
  • Implants can last for many years if you maintain good oral hygiene.
  • Implants prevent ageing bone loss, by stimulating your bone structure and stabilising the surrounding teeth.

Are you suitable for treatment?

Patients must have healthy gums and enough jawbone to support dental implants. At your initial consultation Dr Chhavi Sharma or Dr Raman Bhardwaj will use x-rays and scans to establish if pre-treatment is required and will explain this further and discuss your treatment options.

Some patients may need to see a hygienist for a course of treatment to ensure their gums are strong and healthy before the dental implant process can begin. Dr Chhavi or Dr Raman will also check that there is sufficient bone for an implant to be placed successfully at this initial consultation. If there is insufficient bone you may need to need pre-treatment before your dental implants can be placed. This may include oral surgery procedures such as bone grafting, bone expansion or sinus lifts.

Book a consultation with Dr Chhavi or Dr Raman today to find out more about how dental implants could change your life!

Meet the team

Dr Jonathan Tan

Dentist

GDC NO. 75185

Dr Chhavi Sharma

Dentist - with special interest in restorative and cosmetic dentistry

GDC NO. 136825

Dr Raman Bhardwaj

Periodontist

GDC NO. 85724

Previous
Next
Patient Reviews

People are talking about us

The biggest complement we receive is when our patients refer their friends and family to Guildford Dental Centre. In fact, we have built much of our practice on these valued, trusted recommendations over the years. Read our reviews to hear why our patients are recommending us…

Patient reviews

611 Reviews

5.0

9th December 2025

Friendly informative and placing greatest emphasis on patient's concerns.

9th December 2025

All the team were very helpful and the dentist took time to explain things to me.

5th December 2025

Derek was friendly and helpful, as were the dental nurse and receptionist. The booking system was easy and the appointment was on time.

4th December 2025

The speed with which I was offered an appointment - a part of my tooth had broken off on Monday night. I phoned the centre on Tuesday morning and was given an appointment early on Wednesday morning to see my dentist. The receptionist was very helpful and kind. My dentist Derek Whittle is always great - professional with a good “bedside manner”. He replaced my old filling with a new one and took great care with his work. He explained all the steps as he worked on my tooth. A great job.

29th November 2025

Reliable courteous reassuring professionalism.

28th November 2025

Feel like staff understand my specific dental condition and needs. They always explain things so I understand and make me feel both physically and emotionally comfortable even when have uncomfortable but essential treatments. I trust their expertise.

HS

Hannah Sigston

As a nervous patient with a pretty intense fear of the dentist - I've been able to have 5 fillings and a root canal at GDC with Dr Kavi and Dr Chhavi. Both are so professional, kind, and patient and made sure I knew exactly what was happening and worked so well together to give me the best service and put my mind at ease. For anyone concerned or scared I would highly recommend dental sedation with Dr Kavi it made it completely achievable for me to have those treatments and totally put me at ease and actually relax at the dentist which I never thought could happen. Cannot recommend highly enough.

20th November 2025

Very thorough cleaning by a charming dental hygienist. She is the best hygienist I have ever visited.

PS

Peter Sadler

Very professional treatment from Dr Whittle, excellent discussion of treatment options, appropriate reminders pre-appointment by SMS. Have been a patient for several years.

DP

Dominic Parsons

Everything done and more, to my greatest satisfaction

14th November 2025

The hygienist was friendly, professional and understanding. She gave me advice without being patronising. Her assistant was also very nice and helpful Thank you

12th November 2025

Dr Derek and Dr Raman are both very attentive listeners and kind and gentle in their approach, and highly experienced professionals.

12th November 2025

A very good team

12th November 2025

Relax atmosphere easy to talk to the dentist

12th November 2025

Received a very efficient and friendly service.Every one at the centre puts you at your ease, which helps a lot.

12th November 2025

I had sedation alongside my filling, because I find dental treatment very stressful and panic-making. Kavi did the sedation treatment very well, putting me at my ease and reassuring me about the process. Aradhana is an excellent dentist too, explaining clearly and in a reassuring manner what is going to be done and taking on board my anxieties. Because of the sedation I felt fine at the end of the procedure, and felt that all necessary care and attention had been paid to the preparations for, and carrying out of the dental work undertaken. An experience like this gives me confidence in the dentists, which was necessary for me, because for many years Jonathan Tan has been 'my' dentist, and I was very worried about no longer being able to have treatment from him owing to his now limited 1 day per week availability - on a day I cannot manage. Since Aradhana (and Kavi) started looking after my teeth, I now feel they are aware of my fears, and I also feel comfortable with them treating me, and that takes a load off my mind!

IK

Illona Kusuma

Always a calm experience with Jonathan. Love the atmosphere of the practice as well.

25th October 2025

The care of Dr Tan

24th October 2025

Ease of everything. But most important was the dentist - Derek Whittle. Very professional, knowledgeable, pleasant and efficient.

17th October 2025

Routine check up, X-rays, teeth cleaning and mouth check due to inhaler use all done very smoothly

Prev Previous
Next Next

Why choose us?

Air Purifier - Virus Killer

Air Purifier
- Virus Killer

Five Star Customer Service

Five Star
Customer Service

Invisalign Provider

Invisalign
Provider

State Of The Art Facilities

State Of The
Art Facilities

Leading Dental Care

Leading
Dental Care