We’re Accepting New Patients!

Read More Next

Looking for a caring and professional dental practice? We’re excited to welcome new patients to our clinic! Whether you’re due for a check-up, need treatment, or are looking to enhance your smile, our friendly team is here to help.
Contact us today to book your first appointment—we look forward to meeting you!

Join Us For Our Invisalign Open Event from November 1st-30th 2025 and transform your smile!

Join Us For Our Invisalign Open Event from November 1st-30th 2025 and transform your smile!


Join us at Guildford Dental Centre for our exclusive Invisalign Open Event and take the first step toward your perfect smile! Our special event offers incredible savings and perks when you begin your journey with us.

Why Choose Guildford Dental Centre for Your Invisalign?

At Guildford Dental Centre, we pride ourselves on delivering exceptional Invisalign care with a personal touch. Our experienced team is trusted by hundreds of happy patients and provides support at every stage of your journey - from consultation to your final smile. With nearly invisible aligners, flexible payment options, and a warm, welcoming environment, we make achieving a straighter, more confident smile simple, comfortable, and stress-free.

offers

What is Invisalign?

Invisalign is a modern, nearly invisible way to straighten your teeth using a series of custom-made, clear aligners. Unlike traditional braces, Invisalign aligners are removable, comfortable, and discreet, allowing you to achieve a straighter smile without metal wires or brackets.

Each set of aligners gradually moves your teeth into the desired position, with treatment tailored specifically to your smile goals. Plus, with 3D smile outcome simulation, you can see your future smile before you even begin!

✅ Virtually Invisible – Enjoy a discreet teeth-straightening solution 

✅ Removable – Eat, drink, brush, and floss with ease 

✅ Comfortable Fit – No metal brackets or wires to irritate your mouth 

✅ Faster Results – In many cases, Invisalign works quicker than traditional braces 

✅ Predictable Outcomes – Advanced 3D imaging lets you preview your results

✅ 0% Finance Available – Flexible Payment Plans to Fit Your Budget

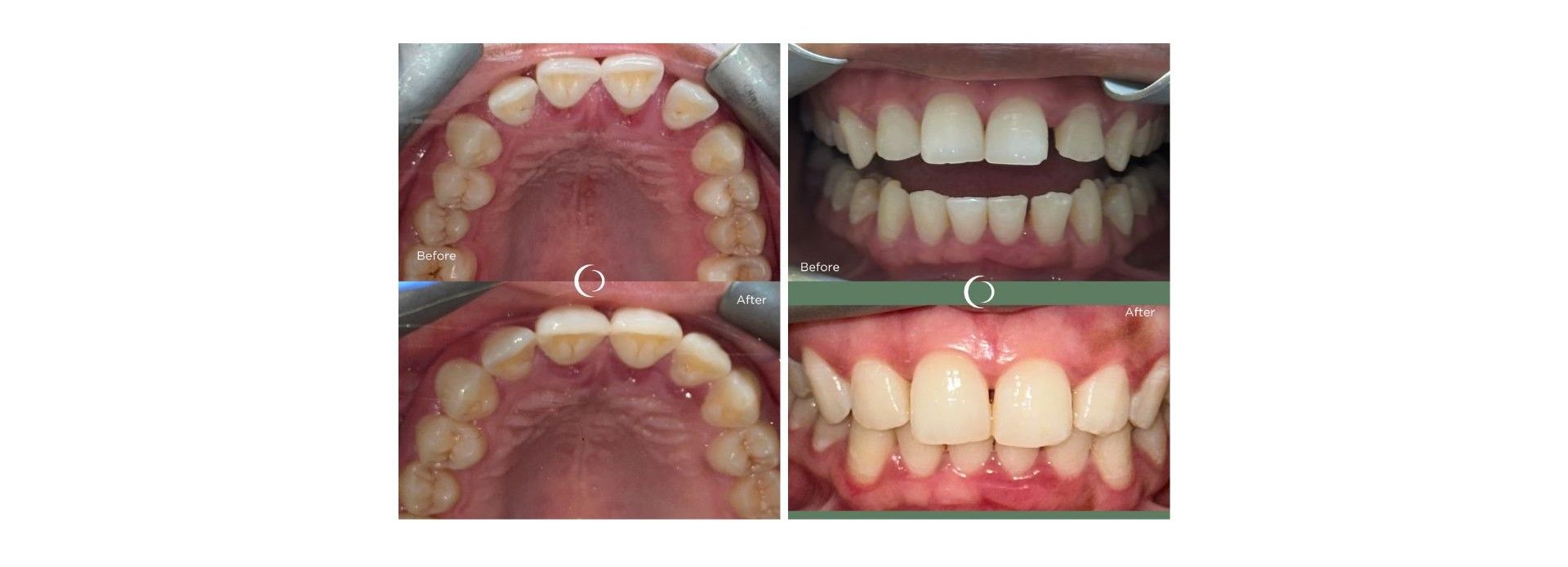
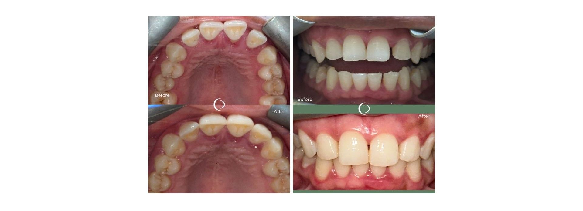
Before & After 

before and after

Ready to get started?

Register online here or give us a call on 01483 535220

Register Now

We can't wait to help you achieve your dream smile!

Meet the team

Dr Derek Whittle

Dentist

GDC NO. 78743

Dr Jananie Raveendran

Dentist

GDC NO. 82926

Dr Aradhana Bhimalingham

Dentist

GDC NO. 109760

Dr Kavitha Sivasubramaniam

Dentist

GDC NO. 85899

Dr Chhavi Sharma

Dentist - with special interest in restorative and cosmetic dentistry

GDC NO. 136825

*T&C's Apply. Offer is only valid for those who attend a consultation during November The offer is available to both cash and finance patients when a deposit of £1000 is taken on the day or the finance application is accepted within one week of the open day. A 10% discount on orthodontic treatment applies only when full payment is made on the day of consultation. Credit is subject to status. Finance is supplied by Tabeo. Results may vary between individuals. Treatment is subject to suitability which will be confirmed by the Dentist. No items from the package can be removed or changed. Treatment must start within 6 weeks of the consultation.